İzmir'de, havalimanında kontrol edilen 2'si Alman uyruklu 5 şüphelinin iç beden muayenesinde, prezervatifler içinde yutulmuş ve vücut boşluklarına gizlenmiş, çeşitli tür ve miktarda uyuşturucu ele geçirildi. Şüpheliler gözaltına alındı.

İl Emniyet Müdürlüğü Narkotik Suçlarla Mücadele Şube Müdürlüğü ekipleri, istihbarat çalışmasıyla, yurt dışından İzmir'e uyuşturucu getirileceğini bilgisine ulaştı.
İzmir Adnan Menderes Havalimanı'nda önceki gün önlem alan ekipler, tespit edilen 2'si Alman uyruklu 5 şüpheliyi durdurdu.

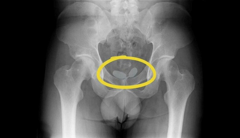
Şüphelilerin yapılan iç beden muayenesinde, prezervatifler içinde yutulmuş ve vücut boşluklarına gizlenmiş halde 21,19 gram eroin, 12,70 gram kokain, 7,76 gram metamfetamin ve 7 sentetik hap ele geçirildi. Gözaltına alınan şüpheliler, polisteki işlemlerinin ardından bugün adliyeye sevk edildi.
Yorumlar
Kalan Karakter: